For more than two decades, Kaylon L. Bruner-Tran, PhD served as the primary writer of scientific documents emanating from the Women’s Reproductive Health Research Center at Vanderbilt University Medical Center in Nashville, Tennessee. She also provided developmental editing and final proofreading for documents written by students and others in training. Documents included primary scientific manuscripts, review papers, grant applications, and progress reports. Dr. Bruner-Tran was also frequently asked by outside colleagues to provide scientific and editorial feedback for their papers and grants prior to submission. Dr. Bruner-Tran’s experience also included preparing CME courses for scientific congresses as well as papers and presentations for lay audiences.
After retiring from bench research, Dr. Bruner-Tran joined the American Medical Writer’s Association (AMWA) and began offering her writing services to the wider medical and scientific community. Although her scientific background and research have been in the areas of reproductive physiology, pathology, and toxicology, her understanding of human physiology allows her to provide critical input into the development of documents from a broad array of biomedical fields.
Education and Training:
BS in Biology and BS in Chemistry for the Life Sciences (Delta State University, Cleveland, Mississippi, USA)
PhD in Reproductive Pathology (Vanderbilt University, Nashville, Tennessee, USA)
Post-doctoral Fellowships: Molecular Biology and Reproductive Pathology (Thomas Jefferson University, Philadelphia, Pennsylvania, USA); Reproductive Physiology (Vanderbilt University Medical Center, Nashville, Tennessee, USA)
Essential Skills Certificate in Medical Writing from the American Medical Writers Association
Abbreviated CV: https://biomedicalprose.com/short-cv/
Scientific and Medical Expertise:
Reproductive Pathology, Reproductive Toxicology, Endometriosis, Pregnancy Outcomes, Offspring Health, Transgenerational Effects
The majority of Dr. Bruner-Tran’s publications are available on PubMed:
Prior to 1999: https://pubmed.ncbi.nlm.nih.gov/?term=bruner+kl&sort=date
1999 and after: https://pubmed.ncbi.nlm.nih.gov/?term=bruner-tran&sort=date
Other Relevant Experience: Dr. Bruner-Tran served as a standing member of the Integrated Clinical Endocrinology and Reproduction (ICER) study section at the National Institute of Health (NIH, 2015-2019) and has also served as an ad hoc reviewer of grant applications submitted to NIH, the Veterans Administration, and the Department of Defense. Dr. Bruner-Tran continues to serve as an ad hoc reviewer for multiple scientific and medical journals (Biology of Reproduction, Fertility and Sterility, PLOS One, Reproductive Sciences, among others).
Research Contributions: Over her 25 year research career, Dr. Bruner-Tran’s laboratory made major contributions to our understanding of how early life toxicant exposure disrupts fertility, pregnancy success, and offspring health. In particular, many of her studies focused on discovering the mechanisms leading to the development of endometriosis and/or risk of preterm birth. Using a mouse model, her laboratory was the first to demonstrate the toxicant exposure history of the father can adversely affect maintenance of pregnancy in his partner as well as the health of two generations of his offspring. Additional studies within her laboratory revealed the effectiveness of nutritional anti-inflammatory agents to reduce the incidence of reproductive dysfunction following early life toxicant exposure.
Personal Interests: In her spare time, Kaylon still loves to write. She has published a three-book series of novels collectively known as The Agent Orange Trilogy. These award-winning genealogical mysteries were extensively researched to be both historically and scientifically accurate. Her fourth novel, a psychological thriller (Edge of Justice), was published in late 2023. Her fifth novel (Deadly Deceit), a dysfunctional family murder mystery, was released in December 2024. Her next novel, Uncle Tom’s Granddaughter, is expected to be published in the summer of 2026. For more information on her books or to read additional blogs, please visit her personal website at www.kaylonbrunertran.com.

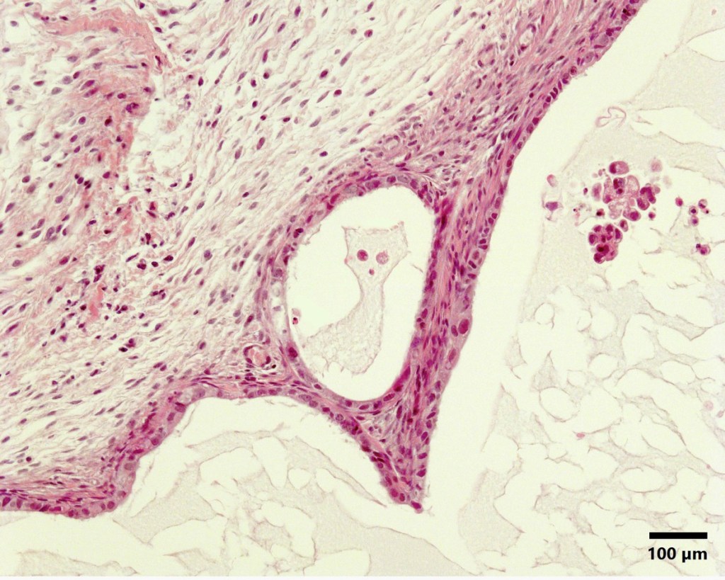
Hematoxylin and Eosin stain of experimental human endometriosis in an immunocompromised mouse. Original magnification, 200x. Bruner-Tran laboratory, 2023.
